Thế nào là bọc răng sứ, thế nào là dán sứ Veneer?
+ Bọc răng sứ
Được ví như "mặc áo cho răng", nghĩa là bác sĩ sẽ bao phủ toàn bộ răng thật bằng một mão sứ, mang đến màu sắc trắng sáng cho răng cũng như đảm bảo tốt chức năng ăn nhai ban đầu.
Đây là bọc sứ
+ Dán sứ Veneer
Là sử dụng một lớp sứ mỏng khoảng 0,2mm dán lên bề mặt răng bằng một loại keo Nha khoa đặc biệt rất chắc chắn, mang lại vẻ đẹp trắng sáng.
Đây là dán sứ
Nhiều bạn cứ nhầm lẫn giữa 2 phương pháp này, ít ra cũng phải hiểu rõ để có nhỡ đến nha khoa không uy tín họ tư vấn mình còn biết, nhiều nha khoa vì lợi nhuận mà bất chấp sức khỏe khách hàng bạn cần phải cảnh giác và trang bị kiến thức là điều quan trọng nhất.Khi nào nên bọc răng sứ, khi nào nên dán sứ Veneer?
+ Các trường hợp nên bọc răng sứ
- Răng bị gãy, vỡ, nứt nặng, hư tổn ảnh hướng đến sự ăn nhai và thẩm mỹ.- Răng bị sâu răng quá nặng, răng lỗ cối, răng chữa tủy.
- Các trường hợp hàm răng không đều bị nhiễm màu, bề mặt răng bong tróc.
- Hình dạng răng không đẹp có thể điều chỉnh bằng cách bọc sứ.
- Phục hình răng bằng phương pháp Implant.
Hàm răng hư tổn - chỉ định bọc sứ
+ Các trường hợp nên dán sứ Veneer
- Người có răng thưa thớt, răng mòn cạnh, chân răng ngắn, răng lộ kẽ hở.
- Răng bị nhiễm màu nặng, răng sỉn màu do kháng sinh, hút thuốc.
- Răng bị nứt, bể, mẻ không qua 1/3 thân răng
- Răng bị lệch mức độ nhẹ, răng có hình dạng bất thường.
+ Chức năng ăn nhai được nâng cao: nhiều người do răng thưa, răng sâu, sứt mẻ...nên khi ăn nhai gặp nhất nhiều khó khăn(thức ăn nhét vào kẽ răng, đau nhức, ê buốt...). Khi bọc sứ các răng sẽ khít đều đặn, độ chiu lực cũng cao hơn, ăn nhai thoải mái.
+ Là áo giáp bảo vệ răng thật: vì được chụp bên ngoài nên răng thật bên trong được bảo vệ tối đa, không bị tiếp xúc vi khuẩn, mảng bám, thức ăn nữa.
+ Tính tiện lợi và thoải mái: nếu so với việc gắn răng giả hay mang hàm răng giả thì bọc sứ tiện hơn rất nhiều, không phải tháo lắp vệ sinh, tuổi thọ lại rất cao có thể lên đến 25 năm.
+ Tính thẩm mỹ cao: hình dáng và màu sắc răng được thay đổi theo hướng tích cực làm cho hàm răng đều và đẹp hơn rất nhiều, màu răng Veneer cũng rất tự nhiên.
+ Vẫn đảm bảo chức năng ăn nhai bình thường.
>> >> Bạn có muốn xem: Bảng giá White Clini
Quy trình thực hiện bọc răng sứ và dán sứ Veneer
+ Bước 1: Khám tổng quát tình trạng răng để xem nên bọc sứ hay dán sứ, kiểm tra các khiếm khuyết và số lượng răng cần phục hình, báo giá...
+ Bước 2: Bác sĩ sẽ mài răng một lớp rất mỏng khoảng 0,2 đến 0,5mm để tạo cùi răng thật bọc sứ hoặc vuốt nhẹ bề mặt men răng nhằm tăng độ bám dính nếu dán sứ.
+ Bước 3: Lấy dấu hàm và chọn màu sắc răng theo yêu cầu
+ Bước 4: Tạo hình và chế tác răng sứ theo mẫu dấu hàm, mất vài ngày để thực hiện, bạn sẽ được gắn răng tạm trong quá trình chờ đợi.
+ Bước 5: Gắn răng sứ lên răng thật, khi khách hàng đồng ý sẽ dán cố định và hoàn thiện.
+ Chất lượng sứ cao cấp siêu mỏng theo tiêu chuẩn châu Âu, mang lại độ trắng sáng và độ bền cao, không lo cộm cấn, hiệu quả lâu dài lên đến 15 năm.
+ Thiết kế nụ cười theo yêu cầu, bạn muốn nụ cười như thế nào bác sĩ sẽ điều chỉnh như ý.
+ Thực hiện nhanh giúp tiết kiệm thời gian, thích hợp với những khách hàng bận rộn như ca sĩ, diễn viên, người kinh doanh, người ở xa, khách du lịch...
+ Trả góp lãi suất 0%.
+ Hỗ trợ, tư vấn khách hàng 24/7.
+ Khi ăn xong bạn nên chà sạch, cách chà như khi chà với răng thật, vệ sinh răng ít nhất 3 lần mỗi ngày.
+ Lúc chải răng nên chú ý vệ sinh kỹ phần nướu bên dưới chân răng theo chiều đứng. Dùng chỉ nha khoa lôi sạch thức ăn thừa trong các kẽ răng và sử dụng nước súc miệng để làm sạch mảng bám.
+ Không ăn nhai các thức ăn cứng, dẻo, dai vì sẽ làm giảm tuổi thọ răng sứ, hạn chế dùng các thức ăn nước uống có khả năng nhiễm màu như cafe, trà...
Làm răng sứ là một giải pháp phục hình răng được đánh giá cao về độ hiệu quả và an toàn, tuy nhiên để đảm bảo được 2 yếu tố ấy bạn cần thực hiện ở địa chỉ nha khoa uy tín. Thực hiện tại địa chỉ uy tín với bác sĩ nhiều kinh nghiệm giúp bạn tránh được các sự cố như: ê buốt đau nhức, rơi vỡ sứ.
——————❖❖❖——————
Trung tâm thẩm mỹ WHITE CLINIC
Địa chỉ: 93 Võ Văn Tần, P.6, Q.3, TP.HCM
Hotline: 090 1112 666
Blog: https://nhakhoawhiteclinic.blogspot.com
- Răng bị nhiễm màu nặng, răng sỉn màu do kháng sinh, hút thuốc.
- Răng bị nứt, bể, mẻ không qua 1/3 thân răng
- Răng bị lệch mức độ nhẹ, răng có hình dạng bất thường.
Hàm răng đều nhưng sỉn màu - chỉ định dán sứ
Ưu điểm khi bọc răng sứ thẩm mỹ
+ Bọc sứ mang đến một hàm răng đẹp: chắc chắn rồi, đã đi phục hình thẩm mỹ là phải đẹp đúng khôgn nào. Những chiếc răng hô, sứt mẻ, xỉn màu…sẽ được thay bằng những chiếc răng sứ trắng sáng, đều đặn. Răng sứ lại có độ bền cao, khó bung vỡ, và không lo bị ám màu lại như răng thật.+ Chức năng ăn nhai được nâng cao: nhiều người do răng thưa, răng sâu, sứt mẻ...nên khi ăn nhai gặp nhất nhiều khó khăn(thức ăn nhét vào kẽ răng, đau nhức, ê buốt...). Khi bọc sứ các răng sẽ khít đều đặn, độ chiu lực cũng cao hơn, ăn nhai thoải mái.
+ Là áo giáp bảo vệ răng thật: vì được chụp bên ngoài nên răng thật bên trong được bảo vệ tối đa, không bị tiếp xúc vi khuẩn, mảng bám, thức ăn nữa.
Bọc sứ thẩm mỹ
+ Cải thiện giọng nói: cứ nghĩ mà xem, có một hàm răng đẹp và trắng sáng bạn sẽ tự tin nói chuyện, âm thanh phát ra tự nhiên hơn, tròn âm hơn là một hàm răng đầy khuyết điểm phải không nào.+ Tính tiện lợi và thoải mái: nếu so với việc gắn răng giả hay mang hàm răng giả thì bọc sứ tiện hơn rất nhiều, không phải tháo lắp vệ sinh, tuổi thọ lại rất cao có thể lên đến 25 năm.
Ưu điểm khi dán sứ Veneer
+ Độ bền rất cao, với tuổi thọ trên 10 năm và có thể lên đến 15 năm nếu được bác sĩ giàu kinh nghiệm thực hiện và quá trình chăm sóc tốt.+ Tính thẩm mỹ cao: hình dáng và màu sắc răng được thay đổi theo hướng tích cực làm cho hàm răng đều và đẹp hơn rất nhiều, màu răng Veneer cũng rất tự nhiên.
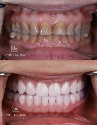
Hình ảnh tại White Clinic
+ Ít tác động đến răng thật, chỉ vuốt nhẹ bề mặt men răng một lớp 0,2mm để tăng độ bám dính.+ Vẫn đảm bảo chức năng ăn nhai bình thường.
>> >> Bạn có muốn xem: Bảng giá White Clini
Quy trình thực hiện bọc răng sứ và dán sứ Veneer
+ Bước 1: Khám tổng quát tình trạng răng để xem nên bọc sứ hay dán sứ, kiểm tra các khiếm khuyết và số lượng răng cần phục hình, báo giá...
+ Bước 2: Bác sĩ sẽ mài răng một lớp rất mỏng khoảng 0,2 đến 0,5mm để tạo cùi răng thật bọc sứ hoặc vuốt nhẹ bề mặt men răng nhằm tăng độ bám dính nếu dán sứ.
+ Bước 3: Lấy dấu hàm và chọn màu sắc răng theo yêu cầu
+ Bước 4: Tạo hình và chế tác răng sứ theo mẫu dấu hàm, mất vài ngày để thực hiện, bạn sẽ được gắn răng tạm trong quá trình chờ đợi.
+ Bước 5: Gắn răng sứ lên răng thật, khi khách hàng đồng ý sẽ dán cố định và hoàn thiện.
Vì sao nên bọc răng sứ và dán sứ Veneer tại White Clinic
+ Thiết bị máy móc hiện đại, máy Scan 3D, máy chụp X-Quang kỹ thuật số cho ra những kết quả chính xác nhất, từ đó giúp bác sĩ nắm rõ tình trạng răng của khách hàng.
H'Hen Niê chỉnh nha tại White Clinic
+ Bác sĩ có nhiều năm kinh nghiệm, thao tác chính xác, không mài nhiều răng, không lo ê buốt, đau nhức sau khi thực hiện.+ Chất lượng sứ cao cấp siêu mỏng theo tiêu chuẩn châu Âu, mang lại độ trắng sáng và độ bền cao, không lo cộm cấn, hiệu quả lâu dài lên đến 15 năm.
+ Thiết kế nụ cười theo yêu cầu, bạn muốn nụ cười như thế nào bác sĩ sẽ điều chỉnh như ý.
+ Thực hiện nhanh giúp tiết kiệm thời gian, thích hợp với những khách hàng bận rộn như ca sĩ, diễn viên, người kinh doanh, người ở xa, khách du lịch...
+ Trả góp lãi suất 0%.
+ Hỗ trợ, tư vấn khách hàng 24/7.
Cách chăm sóc sau khi làm răng sứ
Vẫn biết là khi gắn răng sứ bạn sẽ không lo bị sâu răng nữa tuy nhiên không phải vì thế mà chủ quan trong vấn đề vệ sinh răng miệng, mảng bám vẫn sẽ ảnh hướng gây viêm nướu vì vậy bạn cần:+ Khi ăn xong bạn nên chà sạch, cách chà như khi chà với răng thật, vệ sinh răng ít nhất 3 lần mỗi ngày.
+ Lúc chải răng nên chú ý vệ sinh kỹ phần nướu bên dưới chân răng theo chiều đứng. Dùng chỉ nha khoa lôi sạch thức ăn thừa trong các kẽ răng và sử dụng nước súc miệng để làm sạch mảng bám.
+ Không ăn nhai các thức ăn cứng, dẻo, dai vì sẽ làm giảm tuổi thọ răng sứ, hạn chế dùng các thức ăn nước uống có khả năng nhiễm màu như cafe, trà...
Làm răng sứ là một giải pháp phục hình răng được đánh giá cao về độ hiệu quả và an toàn, tuy nhiên để đảm bảo được 2 yếu tố ấy bạn cần thực hiện ở địa chỉ nha khoa uy tín. Thực hiện tại địa chỉ uy tín với bác sĩ nhiều kinh nghiệm giúp bạn tránh được các sự cố như: ê buốt đau nhức, rơi vỡ sứ.
——————❖❖❖——————
Trung tâm thẩm mỹ WHITE CLINIC
Địa chỉ: 93 Võ Văn Tần, P.6, Q.3, TP.HCM
Hotline: 090 1112 666
Blog: https://nhakhoawhiteclinic.blogspot.com






0 nhận xét:
Đăng nhận xét